기사 메일전송
망막에 칩 이식해 시력 회복…유럽서 임상 시험 성공
  • 연합뉴스
  • 등록 2025-10-21 06:00:01
기사수정
  • 건성 황반변성 환자들에 도움…"인공 시력 역사상 새로운 시대"


칩 이식 후 특수 안경으로 글자 읽는 실라 어빈칩 이식 후 특수 안경으로 글자 읽는 실라 어빈. 무어필즈 안과병원 홈페이지 캡처. 

실명 환자들이 안구 후면에 칩을 이식하는 국제 임상 시험을 통해 시력을 일부 회복했다고 영국 일간 텔레그래프가 20일(현지시간) 전했다.


영국과 프랑스, 독일, 이탈리아, 네덜란드 등 유럽 5개국 내 38명의 실명 환자는 미국 캘리포니아 바이오테크 기업 사이언스 코퍼레이션이 개발한 프리마(Prima) 임플란트 시험에 참여했다.


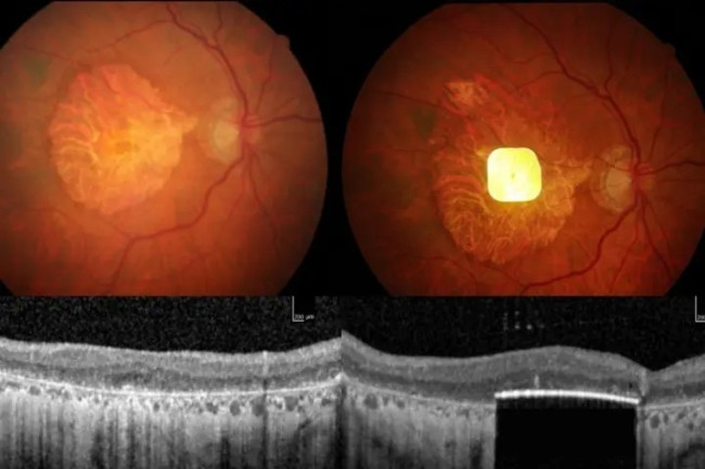
지리적 위축증(GA)이라 불리는 건성 황반변성(AMD) 환자들은 머리카락 굵기 정도의 두께를 가진 2㎜ 크기의 초소형 광전 마이크로칩을 망막 아래에 삽입했다.


이후 환자들은 비디오카메라가 내장된 특수 안경을 착용했다. 이 카메라는 적외선 신호로 변환된 영상을 눈 속의 칩으로 전송하고, 이 신호는 다시 작은 휴대용 프로세서로 보내져 영상이 강화되고 선명하게 조정된다.


이렇게 처리된 이미지는 임플란트와 시신경을 통해 환자의 뇌로 전달돼 시각을 일부 회복할 수 있게 해준다.


환자들은 새로운 형태의 시각 정보를 해석하는 방법을 익히기 위해 수개월간 훈련받았다. 그 결과 칩을 이식받은 32명 중 27명이 중심 시력을 이용해 다시 읽을 수 있게 됐다.


이번 임상 시험의 영국 측을 주도한 런던 무어필즈 안과병원의 마히 무킷 전문의는 "이들은 시력 상실로 더 이상 읽거나 쓰거나 얼굴을 알아볼 수 없었던 노인 환자"라며 "어둠에서 벗어나 다시 시력을 활용하기 시작했다"고 말했다.


이어 "인공 시력 역사상 새로운 시대를 의미한다"며 "실명 환자들이 실제 의미 있는 중심 시력 회복을 경험할 수 있게 됐는데 이는 전례 없는 성과"라고 평가했다.


칩 삽입 전(왼)과 후의 모습칩 삽입 전(왼)과 후의 모습. 무어필즈 안과병원 홈페이지 캡처. 

뉴잉글랜드 의학 저널에 게재된 이 연구의 주저자인 독일 본 대학교의 안과 전문의 프랑크 홀츠 교수는 "지리적 위축증으로 실명한 환자에게 기능적 중심 시력을 회복시킬 수 있음을 처음으로 확인했다"며 "이 임플란트는 말기 AMD 치료에 패러다임의 전환을 의미한다"고 말했다.


임상 시험에 참여한 환자들은 시력을 되찾은 기쁨을 감추지 못했다.


시각장애인으로 등록된 70세의 실라 어빈은 칩 이식 전 눈앞에 두 개의 검은 원반이 있어 독서와 운전이 불가능했다고 말했다.


그는 "열렬한 독서광이었는데 그 삶을 되찾고 싶었다"며 "처음엔 전혀 볼 수 없었지만 어느 날 글자 가장자리가 보이기 시작했고, 이후 글자 하나가 보이기 시작했을 땐 정말 짜릿했다"고 회상했다.


어빈은 다만 특수 안경을 끼고 글자를 읽어야 할 때 엄청난 집중력이 요구되는 데다, 화면이 흔들리지 않도록 머리를 고정해야 해서 야외에서는 이 장치를 작용하지 않는다고 말했다.


프리마 임플란트는 아직 정식 허가를 받지 않아 임상 시험 외에는 이용할 수 없다. 향후 비용이 얼마나 들지도 불분명하다.


무킷 전문의는 향후 몇 년 안에 영국 국민보건서비스(NHS)를 통해 이 기술이 제공될 수 있길 희망했다. 다만 선천적 시각 장애인은 뇌로 신호를 전달할 기능성 시신경이 없어 이 임플란트의 도움을 받기 어려울 것이라고 영국 BBC 방송은 전했다.


연합뉴스 


이 기사에 대해 어떻게 생각하시나요?
추천해요
0
좋아요
0
감동이에요
0
정기구독배너
모바일 버전 바로가기